脳挫傷 びまん性軸索損傷 高次脳機能障害後遺障害9級(他の障害とで併合8級)認定事例
(令和8年2月23日原稿作成)
以下は交通事故で頭部を受傷し、高次脳機能障害などが残り、自賠責で後遺障害9級(他の後遺障害も認められ、併合8級)が認定され、示談で解決した当法律事務所受任ケースをご紹介します。
事故状況
被害者(事故時40代後半男性:会社員)は250ccバイクに乗り十字路交差点を青信号で直進していたところ、対向車線から右折してきた四輪車に衝突され、転倒し、負傷しました。
十字路交差点・青信号直進バイク対対向四輪車青信号右折の事故は、極めて多い事故の類型です。
極めて多いだけでなく、バイク運転者が死亡に至ったり重傷を負うことも目立つ事故であるといえます。
■本件の過失割合■
別冊判例タイムズ38号という書類の【175】図という図にしたがって考えていきます。この場合、バイク側15%:四輪車側85%が基本割合になります。
本件では特に上記基本割合を修正する事情がなく、15対85の過失割合で処理することになりました。
最初、高次脳機能障害に関係する症状が見過ごされました
被害者は病院に救急搬送されました。画像検査の結果、頭部は前頭葉及び後頭葉の脳挫傷と診断されました。
一時期、ICU(集中治療室)に入ることになりました。
骨盤骨折など多発骨折もあり、一時は命にもかかわる状態でした。
被害者は、搬送先の病院とそこから転院となった病院とあわせて2ヶ月余り入院することになりました。
退院後は通院・リハビリテーションを行うことになりましたが、骨盤の骨折が手術を行うほどひどく、この治療(整形外科での治療になります。)がメインになったこともあり、頭部関係の症状が見過ごされ、退院後も整形外科関係の外来(通院)リハビリテーションが続きました。
日弁連交通事故相談センターが発行している文献にも以下の点が述べられており、脳外科医が見落としていないか相談時にチェックするという指摘があります。
脳損傷を伴う交通外傷の場合、生死の境をさまようような重篤な症状が一定期間続くことが多いため、命が助かり奇跡的に意識も回復すれば、それ以上の異変に気付かないことが多く、特に麻痺などの身体障害がない場合に異変に気付きにくい
つまり、高次脳機能障害に関係する症状(もの忘れ、注意力低下、性格変化など)は当初の入院中から見過ごされやすいという心配点があるということです。
退院後、被害者は復職したのですが、勤務中にもの忘れが目立ち、日常生活でも何をしていたかわからなくなることも目立つようになりました。
搬送先病院の脳神経外科受診
被害者は、退院後も通院診察でフォローをしていただいいた搬送先病院の整形外科医の先生にもの忘れのことを伝えたところ、同じ病院の脳神経外科へ紹介状を出していただき受診の運びとなりました。
搬送先の病院では当初の対応は救急科だったことから、脳神経外科医の先生による診察までは届いていなかったようでした。
しかし、この病院では事故当日に頭部CTが撮られ、事故から12日目に頭部MRIが撮られており、医療情報があったこともあり、脳神経外科の初診もスムーズだったようです。
この脳神経外科の受診は事故から10ヶ月弱の時点でした。
ただし、被害者にとって運が良かったのは、担当された脳神経外科医の先生がとても親身に見てくださる方で、初診以降の治療が軌道に乗りました。
この脳神経外科医の先生は以下の当法律事務所がご依頼をお受けした被害者の件でもご担当された方です。残念ながらこの脳神経外科医の先生はこの病院から異動されました。
交通事故で脳挫傷、急性硬膜下血腫を受傷 後遺障害7級の高次脳機能障害が認定されたケース
脳神経外科の初診では、それまで撮った頭部画像が確認され、脳挫傷があることが確認され、被害者が記憶障害などの症状を訴え、もう一度頭部MRIを撮ることになりました。
高次脳機能障害が問題となるケースでは、交通事故受傷後3ヶ月以降経過してからMRI検査を受け、異常が認められるかどうかの確認をしていただいた方がいいと思います(当法律事務所がご依頼をいただいた案件では、経過のMRIが撮られているケースが多いです。)。
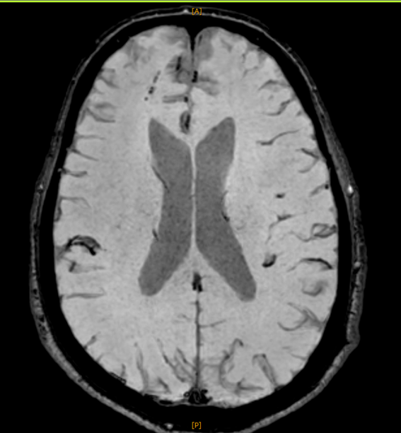
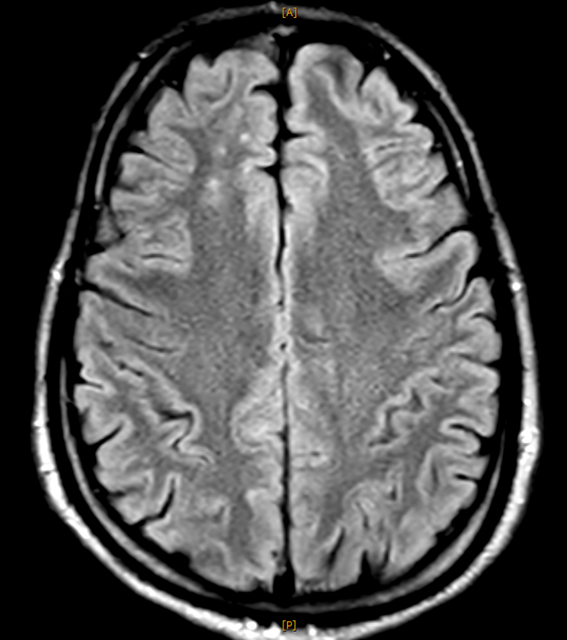
MRIの中には DWI(拡散強調画像) という種類があります。本件被害者には事故直後も今回もこの画像が撮られていました。さらに今回、 SWI(磁化率強調画像) という種類のものも撮られていました。
以下、今回撮られたMRI画像です。いずれも 右前頭葉に脳挫傷性の変化 が認められます。
これらは びまん性軸索損傷 の所見です。
高次脳機能障害として後遺障害等級認定の対象となるポイント① ~画像~
脳挫傷やびまん性軸索損傷を示す画像所見が認められることが必要になります。
本件では、上記のとおり、はっきりとした画像上の異常所見があり、これにより脳挫傷、びまん性軸索損傷と診断されました。
当法律事務所の相談、弁護士受任
被害者は、過去に交通事故で骨折し、当法律事務所にご依頼いただいた方とお知り合いであり、その方から当法律事務所を紹介され、ご相談にお越しになりました。
後述の搬送先病院の脳神経外科からの紹介状による転院先のリハビリテーション医療機関への初診前のタイミングで当法律事務所にお越しになりました。
弁護士金田は事情をお聞きし、ご依頼をお受けすることになりました。
この交通事故後、被害者には 物忘れのほか、物事を行うのに事故前よりも時間がかかってしまうこと、意欲低下、疲れやすさ、怒りっぽくなった といった症状が発生したとのことでした。
奥様にも相談に同席していただき、奥様からお聞きした事情もあります。
高次脳機能障害として後遺障害等級認定の対象となるポイント② ~意識障害~
事故後からの意識障害があり、その程度と期間がどれくらいなのかが重要 になります。
まず、当法律事務所では、被害者から同意書をいただき、搬送先の病院に対し、搬送後からの意識障害の程度と期間について問い合わせをしました。
病院には頭部外傷後の意識障害についての所見という書式を作成いただきました。
被害者の「頭部外傷後の意識障害についての所見」
●初診時JCS-2(見当識障害がある)
JCSとは意識障害の程度がどれくらいかを評価するスケールのことをいいます。
見当識障害とは、かんたんにいいますと、今居る場所、今日の日付などが正確に言えない状態 のことです。
●受傷から8日目に意識清明になったとの記載でした。
上記意識障害の程度と、意識障害が生じていた期間からすると、高次脳機能障害が残存する可能性が十分にある ということになります。
高次脳機能障害のリハビリテーション
被害者の記憶障害と整合するMRI画像上の異常があったことがわかったのですが、搬送先の脳神経外科医の先生は、記憶障害は脳神経外科での対応が困難とのことで、他院(リハビリテーションの医療機関)に紹介され、被害者はこの医療機関でリハビリテーションを行うことになりました。
脳神経外科での対応が困難とは、脳挫傷やびまん性軸索損傷は脳(脳実質といいます)の損傷ですが、脳の損傷は外科的処置(手術)を施すことができないということです。
被害者は転院先で定期的に通院し、神経心理学的検査も実施されました。
神経心理学的検査とは
知能、記憶、注意力などの障害の有無・程度を数字で評価する検査 です。
後遺障害等級審査のときに判断材料になります。
ただし、高次脳機能障害を専門的に取り扱っておられる医師の先生の中に、神経心理学的検査の結果は高次脳機能障害の一部を表しているにすぎず、同検査だけで重症度I(等級)を判定することは適当ではないという見解があります。
被害者には以下の検査が実施されました。
●WMS-R(ウエクスラー記憶検査)
被害者のもの忘れ(記憶障害)は日常的に起こっていましたが、検査上はほぼ正常範囲内でした。しかし、他の項目よりも目立って低い項目がありました。
●WAIS-Ⅲ(知能検査)
平均点のライン(カットオフ値という言葉が使用されます。)を下回る項目が一つ、境界線(平均のさらに下)のライン(カットオフ値)を下回る項目が一つありました。
●CAT(標準注意検査法)
低下している項目が多数ありました。
この神経心理学的検査が実施された後も被害者は通院診察を続けましたが、もの忘れ、物事を行うのに事故前よりも時間がかかる、意欲低下、疲れやすさ、怒りっぽいなどの症状は続き、後遺障害診断をすることになりました。
事故から3年2か月で症状固定となりました。
後遺障害等級認定結果…高次脳機能障害は後遺障害9級10号の認定
通院をしたこの医療機関の担当医の先生に 後遺障害診断書 と「神経系統の障害に関する医学的意見」という書類をご作成いただきました。
弁護士金田は被害者の奥様から被害者の日常生活状況をお聞きし、これをふまえ、日常生活状況報告という書類をご作成いただきました。
書類がそろい、自賠責保険会社に資料を郵送し、申請をしました。
結果、高次脳機能障害は、9級10号(神経系統の機能又は精神に障害を残し、服することができる労務が相当な程度に制限されるもの)に該当する と判断されました。
そのほかの後遺障害の認定があり、トータルの等級は併合8級となりました。
以下は、本件の後遺障害等級認定結果です。

被害者は事故前からの仕事先に復帰でき、配置転換もなく事故前の仕事に復帰していましたが、もの忘れ、物事を行うのに事故前よりも時間がかかる、意欲低下、疲れやすさ、怒りっぽいなどの症状があるため、事故前の仕事レベルには及んでいないという状況でした。
最終示談成立
後遺障害等級結果が出た後、最終示談に進みました。
最終で 2571万円余り の支払いを受ける合意ができました。
こちらからの請求に対し、相手方任意保険会社からは入通院慰謝料だけが約25万円ほど低い回答でしたが、その他の費目はすべて当方からの請求金額に応じる回答でした。
以下が合意できた内容です。

後遺障害逸失利益は、事故前年の年収の金額をもとに、45%の労働能力が67歳まで失われる計算での金額 です。
この2571万円余り以外に、自賠責保険から後遺障害併合8級認定により、819万円 の支払いを受けております。
交通事故で頭部を打って入院となったらご家族の方はすぐに法律相談を!
弁護士金田はこれまでたくさんの交通事故・高次脳機能障害ケースのご依頼を受けてきました。
高次脳機能障害は「見すごされやすい」障害です。ご家族も被害者の異変に気付かないおそれがあります。
交通事故で頭部を打って入院となったケースは、被害者のご家族の方におかれましては、すぐに当法律事務所の無料相談にお越しください。
被害者の様子がおかしいかどうかの気づきについて、すぐアドバイスいたします。
執筆者

最新の投稿
- 2026.05.2012級脛骨高原骨折 ひざの痛み残存遺障害12級13号認定事例(令和7年認定)
- 2026.05.1712級長管骨変形後遺障害12級8号「15度以上屈曲して不正癒合したもの」 とは
- 2026.04.20新着情報2026年ゴールデンウイーク中の休業のご案内
- 2026.02.231級~8級脳挫傷 びまん性軸索損傷 高次脳機能障害後遺障害9級(他の障害とで併合8級)認定事例








